
La importancia de un diagnóstico temprano en la esclerosis múltiple
La esclerosis múltiple es una enfermedad autoinmune que afecta al sistema nervioso central y suele manifestarse en personas jóvenes con síntomas variados: visión borrosa, pérdida de fuerza, hormigueos, inestabilidad al caminar, fatiga o problemas de memoria. Dada su complejidad y la variabilidad en la evolución, el diagnóstico precoz realizado por un neurólogo especializado es fundamental para comprender el origen de los síntomas y orientar adecuadamente los siguientes pasos. Identificar a tiempo esta enfermedad permite iniciar medidas que mejoran el pronóstico y la calidad de vida a largo plazo.
¿Cuáles son los primeros síntomas que deben hacer sospechar esclerosis múltiple?
Los signos iniciales de la esclerosis múltiple pueden confundirse con otras enfermedades, lo que retrasa el diagnóstico. Entre los más frecuentes se encuentran alteraciones visuales (visión doble, pérdida súbita de visión), debilidad o entumecimiento en brazos o piernas, pérdida de equilibrio, vértigos, cansancio intenso o dificultades cognitivas. Ante la aparición de estos síntomas, acudir de manera temprana a la consulta de neurología permite descartar otras causas y valorar si se trata de una enfermedad desmielinizante.
Pruebas diagnósticas en la esclerosis múltiple
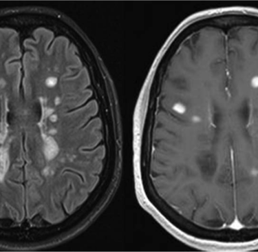
El diagnóstico se basa en una combinación de historia clínica, exploración neurológica y pruebas complementarias como resonancia magnética cerebral y medular, análisis de líquido cefalorraquídeo o estudios neurofisiológicos. Cada una de estas pruebas ayuda a confirmar la presencia de lesiones típicas de esclerosis múltiple y a diferenciarla de otras patologías. En la consulta de neurología de Burriana, ofrecemos una orientación experta para solicitar las pruebas necesarias y dar sentido a los resultados obtenidos.


Especialista en neuroinmunología en Castellón (Burriana)
La esclerosis múltiple es una enfermedad autoinmune crónica que afecta al cerebro, la médula espinal y los nervios ópticos. Se produce porque el sistema inmunitario ataca la mielina, la capa que recubre y protege las fibras nerviosas, dificultando la transmisión de los impulsos eléctricos. Esto puede provocar síntomas muy variados que aparecen en brotes o de forma progresiva. Aunque actualmente no existe una cura definitiva, sí existen tratamientos que la controlan con una alta eficacia. Un diagnóstico precoz realizado en la consulta de neurología de la Clínica Diago Muñoz (Burriana, Castellón) permite actuar antes, mejorar el control de la enfermedad y reducir el impacto en la calidad de vida.


Contacto
Dirección
Carrer Major, 11, Planta Baja, Izquierda, 12530 Burriana, Castellón.
Horario
Martes y jueves de 16:00 a 20:00 h
info@clinicadiagomunoz.com
Teléfono
+34 964511558
+34 610581161




